9901 Brodie Ln Suite 130, Austin, TX 78748
Real Patients, Real Results
TRU means what it says. Count on us to be TRU to you. TRU service, TRU people, TRU prices, and always… TRU smiles.
TRU is who we are, as well as what we do, and how we do it.

Before

After

Before

After

Before

After

Before

After

Before

After

Before

After
Case Studies

Before

After
With an upcoming wedding and some failing anterior fillings, Diana was ready for a little upgrade with one crown and 4 veneers. Contouring the gums to achieve a more harmonious and toothy smile really changed her whole presentation with very little change to her natural teeth. Shes ready to walk with confidence!

Before

After
Sometimes life gets in our own way. An unfortunate history with dentists made Devon very nervous to visit TRU but he now leaves with something more invaluable than a new smile, a confidence and trust going to the dentist that will allow him to be a life long dental patient and have beautiful healthy teeth for the rest of his life! 8 crowns during sedation were completed to repair Devon’s smile.

Before

After
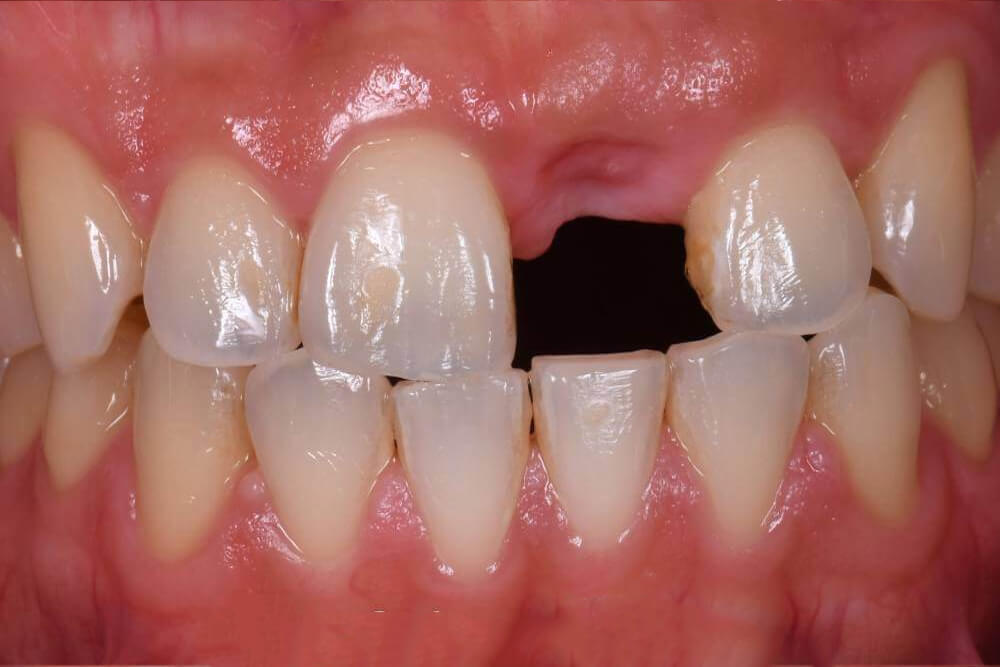
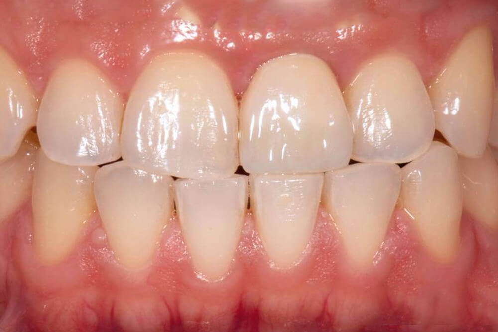
Often times spouses visit TRU Dentistry Austin with a mission in mind. Rodrigos loving wife was tired of looking at his missing teeth! in just two short visits Rodrigo got a porcelain bridge and now they both are smiling!

Before

After
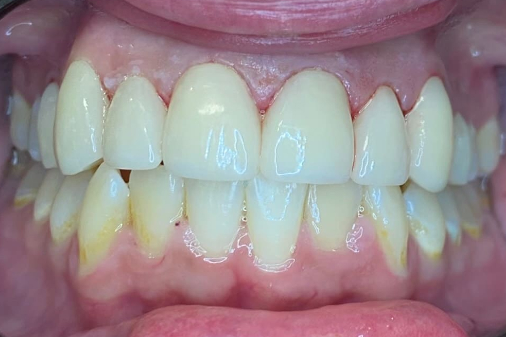
A specialty of TRU Dentistry is replacing and repairing aging and unnatural dental work. Jose is a successful man and he wanted his smile to convey that confidence. Instead a big old lumpy bridge and some giant silver fillings stole the show. After 2 implants, 3 crowns and 5 veneers Jose has the teeth he was always meant to have.

Before

After
After years of improper Dental home care, tooth alignment, and regular cleanings, this patients teeth become broken and lost over time. At TRU Dentistry Austin we believe in saving natural dentition while creating ideal form and function. We were so fortunate to help this patient save and protect her teeth while setting her up for success with a lower implant supported denture. Without proper Dental home care, tooth alignment, and regular cleanings, teeth become broken and lost over time.